УДК: 616.281-007:616.283.1-089.843
В.Е. Кузовков, Ю.К. Янов, С.В. Левин Санкт-Петербургский научно-исследовательский институт уха, горла, носа и речи (Директор – Засл. врач РФ, проф. Ю.К. Янов)
Кохлеарная имплантация (КИ) в настоящее время является общепризнанным в мировой практике и наиболее перспективным направлением реабилитации лиц, страдающих сенсоневральной тугоухостью высокой степени и глухотой, с последующей интеграцией их в среду слышащих. В современной литературе достаточно широко освещены вопросы классификации аномалий развития внутреннего уха, в том числе применительно к КИ, описаны хирургические методики проведения КИ при данной патологии. Мировой опыт КИ у лиц с аномалиями развития внутреннего уха насчитывает более 10 лет. В то же время в отечественной литературе отсутствуют работы по данной тематике.
В Санкт-Петербургском НИИ уха, горла, носа и речи впервые в России стала выполняться КИ у лиц, имеющих аномалии развития внутреннего уха. Трехлетний опыт подобных операций, наличие успешных результатов таких вмешательств, а также недостаточное количество литературы по данному вопросу, послужили причиной выполнения данной работы.
Классификация аномалий развития внутреннего уха. Современное состояние вопроса.
С появлением в конце 80-х – начале 90-х г.г. компьютерной томографии (КТ) высокого разрешения и магнитно-резонансной томографии (МРТ) данные методики стали широко применяться для диагностики наследственной тугоухости и глухоты, особенно при определении показаний к КИ. С помощью этих прогрессивных и высокоточных методик были выявлены новые аномалии, которые не укладывались в существовавшие классификации F. Siebenmann [5] и K. Terrahe [7]. В результате чего R.K. Jackler [1, 2] были предложена новая классификация, расширенная и модифицированная N. Marangos [4] и L. Sennaroglu [5]. Однако, следует отметить, что, в частности, МРТ в настоящее время выявляет настолько тонкие детали, что обнаруживаемые мальформации бывает трудно классифицировать [3, 4].
В своей классификации аномалий развития внутреннего уха, основанной на данных обычной рентгенографии и первых данных КТ, R.K. Jackler [1] принимал во внимание отдельное развитие преддверно-полукружной и преддверно-улитковой частей единой системы. Автор предположил, что различные типы аномалий появляются в результате задержки или нарушения развития на определенной стадии последнего. Таким образом, обнаруживаемые типы мальформаций соотносятся с временем нарушения. Позже автор рекомендовал относить комбинированные аномалии к категории А, и предположил связь таких аномалий с наличием расширенного водопровода преддверия (табл.1).
Таблица 1 - Классификация аномалий развития внутреннего уха по R.K.Jackler
| Категория А | Аплазия или мальформации улитки |
|---|---|
|
|
| Категория В | Нормальная улитка |
|
Таким образом, пункты 1 – 5 категорий А и В представляют собой изолированные аномалии развития. Комбинированные аномалии, подпадающие под обе категории, следует относить к категории А при наличии расширенного водопровода преддверия. В соответствии с R.K. Jackler, S. Kösling [6] сделал утверждение о том, что изолированные аномалии представляют собой не только деформацию одной структурной единицы внутреннего уха, но могут сочетаться как с аномалиями преддверия и полукружных каналов, так и с вестибулярной дисплазией и расширенным водопроводом преддверия.
В классификации N. Marangos [3] включены неполное или аберрантное развитие лабиринта (табл. 2, пункт 5).
Таблица 2 - Классификация аномалий развития внутреннего уха по N. Marangos
| Категория | Подгруппа |
|---|---|
| А = неполное эмбриональное развитие |
|
| В = аберрантное эмбриональное развитие |
|
| С = изолированные наследственные аномалии | Х-связанная тугоухость |
| D | Аномалии при наследственных синдромах |
Таким образом, описаны четыре категории (A-D) аномалий развития внутреннего уха. Расширенным водопровод преддверия автор считает, если межкостное расстояние в средней части превышает 2 мм, тогда как другие авторы приводят цифру в 1,5 мм.
L. Sennaroglu [4] дифференцирует 5 основных групп (табл. 3): аномалии развития улитки, преддверия, полукружных каналов, внутреннего слухового прохода и водопровода преддверия или улитки.
Таблица 3 - Основные группы и конфигурации кохлеовестибулярных аномалий по L. Sennaroglu
| Основные группы | Конфигурация |
|---|---|
| Кохлеарные аномалии | Аномалия Michel / аплазия улитки / общая полость / неполное разделение тип I / гипоплазия улитки / неполное разделение тип II / нормальная улитка |
| Вестибулярные аномалии | Преддверие: отсутствие/гипоплазия/расширение (включая аномалию Michel и общую полость) |
| Аномалии полукружных каналов | Отсутствие/гипоплазия/увеличенные размеры |
| Аномалии внутреннего слухового прохода | Отсутствие/узкий/расширенный |
| Аномалии водопроводов преддверия и улитки | Расширенный/нормальный |
Кохлеарные мальформации (табл. 4) были разделены автором по степени выраженности на шесть категорий в зависимости от времени нарушения нормального хода эмбрионального развития. Эта классификация аномалий развития улитки включает неполное разделение I и II типов.
Таблица 4 - Классификация аномалий улитки по времени нарушения внутриутробного развития по L. Sennaroglu
| Кохлеарные мальформации | Описание |
|---|---|
| Аномалия Michel (3-я неделя) | Полное отсутствие кохлеовестибулярных структур, часто – апластичный внутренний слуховой проход, чаще всего – нормальный водопровод преддверия |
| Аплазия улитки (конец 3-ей недели) | Улитка отсутствует, нормальное, расширенное или гипопластическое преддверие, и система полукружных каналов, часто – расширенный внутренний слуховой проход, чаще всего – нормальный водопровод преддверия |
| Общая полость (4-ая неделя) | Улитка и преддверие – единое пространство без внутренней архитектуры, нормальная или деформированная система полукружных каналов, либо ее отсутствие; внутренний слуховой проход чаще расширен, чем сужен; чаще всего – нормальный водопровод преддверия |
| Неполное разделение тип II (5-ая неделя) | Улитка представлена единой полостью без внутренней архитектуры; расширенное преддверие; чаще всего – расширенный внутренний слуховой проход; отсутствующая, расширенная или нормальная система полукружных каналов; нормальный водопровод преддверия |
| Гипоплазия улитки (6-ая неделя) | Четкое разделение кохлеарных и вестибулярных структур, улитка в виде пузырька небольших размеров; отсутствие или гипоплазия преддверия и системы полукружных каналов; суженный или нормальный внутренний слуховой проход; нормальный водопровод преддверия |
| Неполное разделение, тип II (аномалия Мондини) (7-ая неделя) | Улитка в 1,5 завитка, кистозно расширенные средний и апикальный завитки; размеры улитки близки к норме; незначительно расширенное преддверие; нормальная система полукружных каналов, расширенный водопровод преддверия |
Учитывая вышеизложенные современные представления о видах кохлеовестибулярных нарушений, мы используем классификации R.K. Jackler и L. Sennaroglu, как наиболее соответствующие находкам, встречающимся в собственной практике.
Принимая во внимание небольшое число прооперированных пациентов, ниже представлен один случай успешной КИ при аномалии развития внутреннего уха.
Случай из практики
В СПб НИИ ЛОР в марте 2007 года обратились родители пациентки К., 2005 года рождения с жалобами на отсутствие у ребенка реакции на звуки и отсутствие речи. В ходе обследования был установлен диагноз: Хроническая двухсторонняя сенсоневральная тугоухость IV степени, врожденной этиологии. Вторичное расстройство рецептивной и экспрессивной речи. Последствия перенесенной внутриутробной цитомегаловирусной инфекции, внутриутробного поражения центральной нервной системы. Резидуально-органическое поражение центральной нервной системы. Левосторонний спастический верхний монопарез. Аплазия I пальца левой кисти. Дисплазия тазобедренных суставов. Спастическая кривошея. Тазовая дистопия гипоплазированной правой почки. Задержка психомоторного развития.
По заключению детского психолога – познавательные способности ребенка в пределах возрастной нормы, интеллект сохранен.
Ребенок слухопротезирован бинаурально сверхмощными слуховыми аппаратами, без эффекта. По данным аудиологического обследования коротколатентные слуховые вызванные потенциалы не зарегистрированы при максимальном уровне сигнала 103 дБ, отоакустическая эмиссия не зарегистрирована с обеих сторон.
При проведении игровой аудиометрии в слуховых аппаратах выявлены реакции на звуки интенсивностью 80-95 дБ в диапазоне частот от 250 до 1000 Гц.
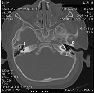
КТ височных костей выявила наличие двухсторонней аномалии развития улитки в виде неполного разделения I типа (табл. 4). При этом данное утверждение верно как для левого, так и для правого уха, несмотря на различную, на первый взгляд, картину (рис.1).
После обследования пациентке проведена КИ на левом ухе классическим доступом через антромастоидотомию и заднюю тимпанотомию, с введением электрода через кохлеостому. Для операции использовался специальный укороченный электрод (Med-El, Австрия), имеющий рабочую длину активного электрода около 12 мм, специально разработанный для применения в случаях аномалии или оссификации улитки.
Несмотря на сохранные слуховые косточки и сухожилие стременной мышцы, акустические рефлексы со стременной мышцы в ходе операции зафиксированы не были. Однако, при проведении телеметрии нервного ответа, были получены четкие ответы при стимуляции 7 электродов из 12.
Послеоперационная трансорбитальная рентгенография улиток выявила, что активный электрод импланта находится в общей полости (рис. 4, стрелка), приняв форму идеальной окружности.
При контрольном аудиологическом обследовании через год после операции у пациентки обнаружены реакции в свободном звуковом поле на звуки интенсивностью в 15-20 дБ в диапазоне частот от 250 до 4000 Гц. Речь пациентки представлена одно- и двусложными словами («мама», «дай», «пить», «киса» и др.), простой фразой из не более двух одно- или двусложных слов. Учитывая то, что возраст пациентки на момент повторного обследования составлял менее 3 лет, результаты слухоречевой реабилитации в данном случае следует считать отличными.
Заключение
Современная классификация аномалий развития внутреннего уха не только дает представление о многообразии такой патологии и времени появления дефекта в процессе внутриутробного развития, но и является полезной при определении показаний к проведению кохлеарной имплантации, в процессе выбора тактики для проведения вмешательства. Представленное в работе наблюдение позволяет оценить возможности кохлеарной имплантации, как средства реабилитации, в сложных случаях, расширяет представления о показаниях к проведению имплантации.
Литература
- Jackler R.K. Congenital malformations of the inner ear: a classification based on embryogenesis//R.K. Jackler, W.M. Luxford, W.F. House/ Laryngoscope. – 1987. – Vol. 97, №1. – P. 1 – 14.
- Jackler R.K. The large vestibular aqueduct syndrome//R.K. Jackler, A. De La Cruz/ Laryngoscope. – 1989. – Vol. 99, № 10. – P. 1238 – 1243.
- Marangos N. Dysplasien des Innenohres und inneren Gehörganges//N. Marangos/HNO. – 2002. – Vol. 50, №9. - P. 866 – 881.
- Sennaroglu L. A new classification for cochleovestibular malformations//L. Sennaroglu, I. Saatci/Laryngoscope. – 2002. – Vol. 112, №12. – P. 2230 – 2241.
- Siebenmann F. Grundzüge der Anatomie und Pathogenese der Taubstummheit// F. Siebenmann/Wiesbaden: J. F. Bergmann; 1904. – 76s.
- Stellenwert der MRT bei Verdacht auf Innenohrmissbildung//S. Kösling, S. Jüttemann, B. Amaya et al. / Fortschr Röntgenstr. – 2003. – Vol. 175, № 11. – S. 1639 – 1646.
- Terrahe K. Missbildungen des Innen- und Mittelohres als Folge der halidomidembryopathie: Ergebnisse von Röntgenschichtuntersuchungen//K. Terrahe/Fortschr Röntgenstr. – 1965. – Vol. 102, №1. – P. 14.
Руководитель отдела разработки и внедрения высокотехнологичных методов лечения - доктор медицинских наук профессор Аникин Игорь Анатольевич.
Телефон клиники - (812) 292-75-01
Комиссия по отбору пациентов на оказание высокотехнологичной медицинской помощи
Секретарь комиссии - кандидат медицинский наук Кузовков Владислав Евгеньевич, телефон - (812) 292-74-42
