Инвертированная папиллома полости носа
Эндоназальная эндоскопическая операция.
Инвертированная папиллома в носу относится к доброкачественным новообразованиям полости носа и, по данным ряда авторов, составляет от 0,4 до 4,7 % случаев по отношению ко всем опухолям полости носа и околоносовых пазух. Большинство пациентов - это мужчины в возрасте 50 - 60 лет. Соотношение мужчин и женщин составляет в среднем 4:1 - 5:1, что соответствует данным большинства исследователей. Для инвертированных папиллом характерна высокая склонность к рецидивам (в 3 - 19% случаев) и малигнизации (от 5 до 10%).
Одной из первых теорий возникновения инвертированной папилломы полости носа была теория хронического раздражения слизистой оболочки верхних дыхательных путей различными вредными факторами (острые инфекционные и хронические заболевания верхних дыхательных путей, полипозно-гнойные синуситы, профессиональные вредности). Также в вопросе этиологии ряд авторов указывают на определенную роль изменений гормонального фона, обменных нарушений и снижения общей иммунологической реактивности организма больных. Наличие специфического вируса папилломы человека в настоящее время считается основной причиной развития новообразования.
Локализация инвертированных папиллом весьма вариабельна - опухоль может располагаться и на латеральной стенке полости носа в области средней носовой раковины и прилежащих синусов (верхнечелюстной пазухи и клеток решетчатого лабиринта), и на перегородке носа. Инвертированная папиллома, оставаясь гистологически доброкачественной опухолью, по клиническому течению нередко проявляет себя, как злокачественная, поскольку обладает деструктирующим ростом. Она может разрушать костные структуры и прорастать стенки синусов, орбиты, черепа, смещая анатомические структуры и вызывая кровотечения.
Клинически инвертируемая папиллома долго остается бессимптомной. Чаще всего пациенты жалуются на затруднение носового дыхания на стороне поражения. Постепенно нарастает заложенность носа, появляются сукровичные выделения, носовые кровотечения, гипо- и аносмия, слезотечение, боль в области лицевого нерва на стороне поражения.
Диагностика
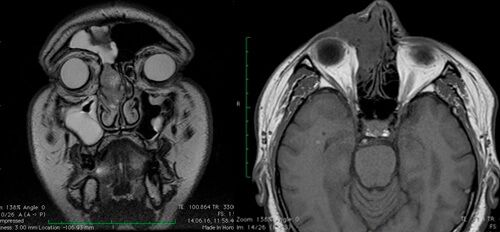
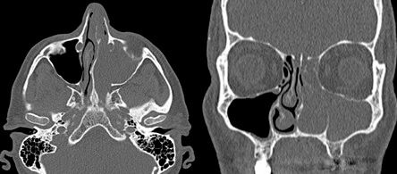
В диагностике инвертированных папиллом ключевое место занимают лучевые методы исследований
- компьютерная томографии
- магнитно-резонансная томографии (с контрастом по назначению врача).
Ценность КТ – материалов состоит в возможности точной оценки границ опухоли, что позволяет определить стадию процесса и тактику дальнейшего ведения больного. МР-данные позволяют дифференцировать активный воспалительный процесс в пазухах от фиброзной и рубцово-измененной ткани. Введение контрастного препарата повышает яркость свечения воспаленной слизистой оболочки.
Лечение
Способы лечения пациентов с инвертированными папилломами многочисленны и весьма разнообразны. Хирургические вмешательства по поводу устранения данных новообразований являются сложными технологическими операциями, требующими специальных навыков и умений, современной аппаратуры и техники, обширных знаний по анатомии основания и черепа и смежных структур.
В Федеральном государственном бюджетном научном учреждении «Санкт-Петербургский научно-исследовательский институт уха, горла, носа и речи» Министерства здравоохранения России накоплен значительный опыт по успешному хирургическому лечению пациентов с инвертированными папилломами сино-назальной локализации. Разработаны и внедрены в практику собственные оригинальные и уникальные методики операций и схемы послеоперационных ведений пациентов, что позволяет минимизировать риск развития процидивов (продолженного роста) опухолевого процесса. Все пациенты получают должную медицинскую помощь на догоспитальном, стационарном и послеоперативном этапах, поддерживают связь с лечащим врачом в любой момент, приезжают на контрольные осмотры. Тщательная работа всех структур института - операционной бригады, анестезиологической службы, рентгенологического отделения, лабораторно-диагностического комплекса - позволяют оказывать высокотехнологичную и эффективную помощь пациентам, которые перенесли операции из наружных доступов в кратчайшие сроки и с выраженным положительным результатом.
Преимущество хирургического лечения в стенах ФГБУ СПб НИИ ЛОР - исключительно эндоназальные эндоскопические доступы в хирургии данных новообразований с максимальным сохранением всех анатомических структур сино-назальной области. Для достижения таких результатов используются различные боры и микродебридеры (шейверы), коагуляторы, эндоскопы с вариабельными углами обзора, навигационные стойки и микроинструменты.
Запись на операцию
Операция за счет бюджета
Хирургическое удаление инвертированной папилломы полости носа согласно Постановления Правительства РФ №1610 от 07.12.2019 года (ссылка) включено в Раздел II (перечень видов высокотехнологичной медицинской помощи, не включенных в базовую программу ОМС, финансовое обеспечение которых осуществляется за счет субсидий из бюджета Федерального фонда ОМС федеральным государственным учреждениям). Операцию возможно провести бесплатно для пациента, оформив пакет документов у лор врача по месту жительства (выписка из медицинской документации и направление на госпитализацию) и далее орган управления здравоохранения (ОУЗ) региона проживания пациента. ОУЗ размещает пакет документов в электронной подсистеме мониторинга реализации государственного задания по оказанию высокотехнологичной медицинской помощи за счет средств федерального бюджета в листе ожидания. Сроки ожидания ВМП зависят от объемов, выделяемых учреждению на год Министерством здравоохранения РФ и количества пациентов в листе ожидания. На сегодняшний день сроки ожидания составляют от 1,5-2 лет.Оформить направление за счет бюджета
Операция по ДМС
Кроме того, оперативное лечение отосклероза в нашем институте может быть проведено за счет средств добровольного медицинского страхования (ДМС), безналичной оплаты организацией, за счет личных средств граждан.
При проведении оперативного вмешательства за счет ДМС программа добровольного медицинского страхования должна включать плановую хирургию. Запись по ДМС
Платная операция по улучшению слуха
Стоимость хирургического лечения по удалению инвертированной папилломы носа в СПб НИИ ЛОР, включающая в себя оперативное вмешательство под общей анестезией, пребывание в стационаре 8 дней с проведением лечения, составляет в среднем 155 000 - 300 000 рублей. Стоимость зависит от распространённости процесса, сложности хирургического вмешательства и категории палаты, в которой размещается пациент.
Учитывая существующую очередность на операцию (в среднем 1-2 месяца) иногородним пациентам, для оптимизации предоперационного обследования и последующего хирургического лечения (уменьшения количества посещений Санкт-Петербурга), возможен вариант предварительной записи на операцию на сайте нашего института (Запись).
В этом случае пациента по согласованию с ним предварительно записывают в операционный список на определенную дату (при желании размещения в палате повышенной комфортности необходимо также согласовывать ее наличие на Ваши даты). За 1 день до предполагаемой даты операции пациент приезжает в институт на очную консультацию, при подтверждении показаний к операции и отсутствии противопоказаний к операции со стороны сопутствующих заболеваний – госпитализируется на клинику. По месту жительства необходимо будет заранее сдать анализы (список анализов).
Запись на консультацию
Получить информацию об операциях, лично обсудить с врачом все нюансы можно на очной консультации с ЛОР-хирургом. Запись на консультацию ведется по телефону +7-812-409-09-09
Мы рады помочь каждому в лечении инвертированной папилломы обширной локализации максимально быстро и эффективно.
Адрес: 190013, Санкт-Петербург, ул.Бронницкая, д.9, взрослое хирургическое отделение (ст.м.Технологический институт)
|
В разделе ЗАПИСЬ нашего сайта Вы можете найти всю необходимую информацию как получить данную услугу.
|
к.м.н., ринохирург Сапова Ксения Игоревна
Элемент не найден!
>