Что такое холестеатома?
Холестеатома – опухолевидное образование, представляющее собой эпидермальную кисту, которая является результатом агрессивного роста ороговевающего плоскоклеточного эпителия. По сути, холестеатома представлена кожей, которая располагается в полостях височной кожи, однако, находясь в нетипичном для нее анатомическом пространстве, она подвержена постоянному хроническому воспалению, вызывающему постепенные деструктивные процессы в прилежащих костных тканях.
Что появляется холестеатома?
По своему происхождению холестеатома височной кости может быть врождённой и приобретенной. В первом случае она является аномалией развития и располагается за целой барабанной перепонкой уже при рождении ребенка. Данное состояние наблюдается крайне редко. Приобретенный вариант холестетомы височной кости встречается намного чаще и обычно является осложнением хронического гнойного среднего отита. В данном случае кожа врастает в барабанную полость через длительно существующую перфорацию барабанной перепонки.

Что будет, если не лечить холестеатому?
Холестеатома постепенно увеличивается в размере, занимая все большее пространство среднего уха, при этом костные структуры, к которым она прилегает, подвергаются постепенному разрушению. Это приводит к снижению слуха при вовлечении в процесс слуховых косточек, однако при дальнейшем распространении образования могут резвится более критические осложнения – парез лицевого нерва при поражении его канала, глухота и вестибулярные нарушения (головокружение, нарушение координации движений) при вовлечении внутреннего уха, менингит и абсцесс головного мозга при разрушении крыши барабанной полости, последнее состояния являются жизнеугрожающими.
Обследование при холестеатоме
Диагностика холестеатомы:
- консультация врача-оториноларинголога с осмотром уха под микроскопом (отомикроскопия),
- проверка слуха (тональная аудиометрия),
- КТ височных костей,
- МРТ среднего уха в DWI режиме «протокол холестеатома».
КТ височных костей. Холестеатома отмечена стрелкой
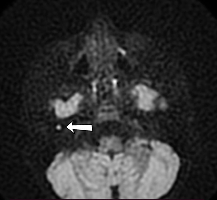
МРТ среднего уха в DWI режиме «протокол холестеамтоа». Холестеатома отмечена стрелкой
Лечение холестеатомы
На сегодняшний день возможно только хирургическое лечение холестеатомы височной кости. При этом операция состоит из двух этапов – санирующего и реконструктивного (слухоулучшающего, тимпанопластики). Оба этапа могут проводится одномоментно или отдельно, в два или более хирургических вмешательства, в зависимости от размера холестеатомы и наличия осложнений.
Как проходит операция по удалению холестеатомы
На сегодняшний день большая часть операций выполняется в условиях общего эндотрахеального наркоза под контролем операционного микроскопа или эндоскопа, для лучшей визуализации структур среднего уха. Наиболее часто используется доступ через заушный разрез.
Санирующая операция заключается в удалении холестеатомы, а также тканей, поддерживающих хроническое воспаление (полипозно изменённая слизистая, грануляции) из полостей среднего уха. Учитывая сложную анатомию височной кости разработаны различные методики санирующих операций. При небольшой холестеатоме в верхних отделах барабанной полости проводится аттикотомия. При распространении эпидермиса в антрум – наибольшую воздушную ячейку сосцевидного отростка, выполняют раздельную аттикоантротомию. При больших холестеатомах выполняется радикальная общеполостная операция на среднем ухе, при этом удаляется задняя стенка наружного слухового похода с образованием большой трепанационной полости. В случае поражения холестеатомой слуховых косточек они удаляются, для уменьшения риска рецидива образования.
Реконструктивная операция включает в себя воссоздание структур среднего уха с целью восстановления слуха. Следует иметь в виду, что чем длительнее течение хронического среднего отита, тем больше объем санирующей операции и тем меньше возможность дальнейшего улучшения слуха. Тимпанопластика включает в себя восстановление барабанной перепонки (мирингопластика) и воссоздание цепи слуховых косточек (оссикулопластика) с помощью различных протезов.
Используемое оборудование:
Эндоскопическая трансканальная хирургия среднего уха

Микроскопические методы получили широкое распространение во всех хирургических специальностях. Лапароскопические подходы к абдоминальным и тазовым процедурам стали обычным явлением.
В области отоларингологии эндоскопическая хирургия околоносовых пазух была введена в 1980-х годах и стала преобладающей методологией проведения хирургических вмешательств в этой области.
Эндоскопическая хирургия уха также расширяет свое применение, и многие процедуры, которые ранее проводились с использованием бинокулярной микроскопии в операционной теперь можно проводить с улучшенной визуализацией за счет более широкого угла обзора и с помощью менее инвазивных хирургических подходов.

Особое значение широкой экспозиции операционного поля приобретает в хирургии холестетомы заднего отдела барабанной полости, где имеется множество закрытых от прямого взгляда анатомических карманов и пространств. Недостаточная санация этих областей с высокой долей вероятности может привести к рецидиву заболевания и «свести на нет» все предыдущие усилия как хирурга, так и пациента.
Принципы функциональной эндоскопической хирургии уха изучены, проверены и внедрены в рутинную практику НИИ уха, горла, носа и речи.
Применение данного метода хирургии среднего уха позволяет использовать слуховой проход в качестве естественного доступа к барабанной полости, восстанавливать нормальные пути вентиляции среднего уха и сосцевидного отростка, с сохранением как можно большей части нормальной анатомии путем сведения к минимуму ненужного рассечения костей и мягких тканей.
Как долго лечиться в больнице после операции
В послеоперационном периоде пациент находится на стационарном лечении. Сроки стационарного лечения зависят от объема проведенной операции, в среднем они варьируются от 7 до 14 дней.
Холестеатома височной кости потенциально рецидивирующее состояние. По этой причине после проведенного хирургического лечения пациенту необходимо находится под наблюдением врача-оториноларинголога от 3 лет и более при больших размерах удаленной холестеатомы. Иногда могут потребоваться повторные (ревизионные) операции для исключения повторного роста холестеатомы.
Как записаться на операцию
Операцию по поводу холестеатомы височной кости в нашем институте возможно провести в рамках квоты на оказание высокотехнологичной медицинской помощи (ВМП) за счет федерального или территориального бюджета в порядке очереди. Кроме того, оперативное лечение может быть проведено за счет средств добровольного медицинского страхования (ДМС), безналичной оплаты организацией и за счет личных средств граждан.
Запись на операцию
Операция за счет бюджета
Хирургическое лечение отосклероза согласно Постановления Правительства РФ №1610 от 07.12.2019 года (ссылка) включено в Раздел II (перечень видов высокотехнологичной медицинской помощи, не включенных в базовую программу ОМС, финансовое обеспечение которых осуществляется за счет субсидий из бюджета Федерального фонда ОМС федеральным государственным учреждениям). Операцию стапедопластика при отосклерозе возможно провести бесплатно для пациента, оформив пакет документов у лор врача по месту жительства (выписка из медицинской документации и направление на госпитализацию) и далее орган управления здравоохранения (ОУЗ) региона проживания пациента. ОУЗ размещает пакет документов в электронной подсистеме мониторинга реализации государственного задания по оказанию высокотехнологичной медицинской помощи за счет средств федерального бюджета в листе ожидания. Сроки ожидания ВМП зависят от объемов, выделяемых учреждению на год Министерством здравоохранения РФ и количества пациентов в листе ожидания. На сегодняшний день сроки ожидания составляют от 1,5-2 лет.Оформить направление за счет бюджета
Операция по ДМС
Кроме того, оперативное лечение отосклероза в нашем институте может быть проведено за счет средств добровольного медицинского страхования (ДМС), безналичной оплаты организацией, за счет личных средств граждан.
При проведении оперативного вмешательства за счет ДМС программа добровольного медицинского страхования должна включать плановую хирургию. При согласовании оперативного лечения – стапедопластики со страховой медицинской организацией необходимо учитывать, что операция подразумевает замену зафиксированной слуховой косточки (стремечка) пациента на протез слуховых косточек, что зачастую не входит в программу страхования. Запись по ДМС
Платная операция по улучшению слуха
Стоимость операции по хозрасчету составит 200000 — 250000 р. в зависимости от объема операции, длительности и сложности наркоза, необходимости установки протеза, длительности госпитализации (в среднем 7-14 дней). Кроме того, стоимость зависит от категории палаты, в которой размещается пациент (стоимость пребывания в палате.
Учитывая существующую очередность на операцию в среднем в течении 1-2 месяцев иногородним пациентам, для оптимизации предоперационного обследования и последующего хирургического лечения (уменьшения количества посещений Санкт-Петербурга), возможен вариант предварительной записи на операцию на сайте нашего института (Запись).
В этом случае пациента по согласованию с ним предварительно записывают в операционный список на определенную дату (при желании размещения в палате повышенной комфортности необходимо также согласовывать ее наличие на Ваши даты). За 1 день до предполагаемой даты операции пациент приезжает в институт на очную консультацию, при подтверждении показаний к операции и отсутствии противопоказаний к операции со стороны сопутствующих заболеваний – госпитализируется на клинику. По месту жительства необходимо будет заранее сдать анализы (список анализов).
